赢在策略
作为医生,我们经常遇到来洗牙的朋友,常常一边张嘴一边皱眉说:"我每天都刷牙啊,怎么又有牙结石?"
有时候甚至半年不到来一次,医生还是摇摇头:"牙结石又长出来啦。"
让人困惑的是——这玩意到底是怎么回事?难道牙膏没选对?还是刷牙白刷了?而且它可能就是你口臭的根源。
别急,我们先来搞清楚:牙结石到底是什么。


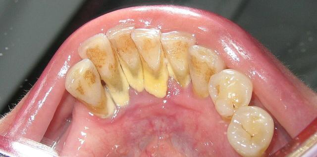
牙齿上的牙结石(牙根处黄色部分) 图源:wikipedia
牙结石是如何形成的?
每天吃完饭、喝完奶茶、啃完鸡腿,牙齿表面都会留下软软的牙垢。
如果放到显微镜下看,你会发现那是一层半透明、却充满细菌的"生物膜",紧贴在牙齿表面,几乎包裹了整个牙齿。
这就是牙菌斑,它是口腔细菌、食物残渣和唾液蛋白的"合作产物",每天、每时、每刻都在悄悄生长。
当牙菌斑没有被彻底刷掉,它就会越积越厚。与此同时,它还会不断吸收唾液中的矿物质(尤其是钙、磷等元素),很快,它就开始"石化",逐渐变硬。
严格意义上说,这就是牙结石的雏形。只不过在刚形成的时候,它还比较松散柔软,能通过认真刷牙、使用牙线清理掉。
但一旦它完全钙化,那就相当于在牙齿上贴了一层硬壳,要完全去除靠普通牙刷根本无能为力。不过牙结石也不是不会掉,当牙结石持续增多,甚至很多医生都遇到过自称"牙齿碎了一块"的病人,其实碎下来的正是牙结石,确切说,掉下来的牙结石只是冰山一角罢了。

图源:网络
为什么天天刷牙赢在策略,还是有牙结石?
刷牙确实能清除大部分牙菌斑,但可惜,刷牙这件事并不是万能的。
问题在于——牙菌斑藏的地方太多、太隐蔽。
1
牙刷够不到
牙齿和牙齿交接处的牙缝、最后磨牙的远端(靠近喉咙口)、牙龈沟(牙齿与牙龈的交界处),都是菌斑最容易躲的地方,也是我们刷牙哪怕刷得再认真,也很难 100% 清除的地方。
所以,即使每天早晚刷牙两次,菌斑依然能在这些角落里"重建家园"。
2
刷牙刷不对
横着刷、太用力、时间太短、没注意角度——都可能让关键区域遗漏。
如果每次都只刷牙齿的外侧面,忽略了牙齿的内侧面,那等于只洗脸不洗脖子。
另外,边刷牙边刷手机几乎成了现代人的通病。有的人明明拿着牙刷两分钟,实际刷到牙齿上的时间可能连一分钟都不到。
3
口腔环境不同
确实,有的人二十年不洗牙牙结石没多少,有的人不到半年牙结石就堆积如山,这一方面当然和平日的卫生习惯有关,另一方面,这确实与个人唾液成分有关,唾液中矿物质含量高、pH 偏碱性的人,更容易让牙菌斑钙化。
这也解释了为什么牙结石最容易出现在下门牙内侧、上后牙的外侧,这些位置都是唾液腺开口处,矿物质源源不断供应,堪称牙结石的"高产区"。
牙结石除了难看赢在策略,还能"制造口臭"
尽管很多人以为口臭是胃不好,其实大多数人口臭的原因都在嘴巴里。
最常见的其实就是伴随牙结石大量堆积的牙周炎患者。

图库版权图片,转载使用可能引发版权纠纷
牙结石的表面粗糙、多孔,像极了细菌的"豪华酒店"。它会吸附食物残渣、让细菌积聚,让这些细菌分解蛋白质、释放出臭鸡蛋气味的硫化物——也就是所谓的"口臭"。
当然,口臭只不过是其中一种微不足道的危害,不仅如此,牙结石的持续存在还会刺激牙龈,让牙龈长期发炎、出血,甚至导致牙齿的松动、疼痛、牙缝变大等牙周炎表现。
日常怎么预防牙结石?
其实预防牙结石,就是在防止牙菌斑"石化"的过程。关键就在于——定期阻断牙菌斑的生长、清除卫生死角。
正确的刷牙方式
选择使用"巴氏刷牙法",关键点就是牙刷与牙齿呈 45 ° 角,轻压在牙龈沟处,短距离水平颤动,要知道,牙齿和牙龈交接的龈沟,是牙结石最爱堆积的区域,往往最早期的牙结石就是从这里开始发展壮大起来。另外,也要注意牙齿内、外侧面和咬合面要"面面俱到"。
另外,刷牙的时间要足够。每次刷牙至少 2 分钟已经是非常低的要求,不信你自己下一次刷牙给自己记个时。
使用牙线或牙缝刷
对于很多人来说,使用牙线这一步甚至比刷牙还要重要。牙刷几乎无法清洁牙齿和牙齿交接处的牙缝,这个位置牙菌斑也相当多,而牙线能清除牙缝间的菌斑。
可千万别怕牙线的使用会让你的牙缝变大,恰恰相反,只有牙缝干净了,牙结石少了,牙龈才会减少萎缩,也更不容易有"缝"。

定期洗牙
已经形成的牙结石,任何牙膏和牙刷都刷不掉,只有通过超声波洁治(也就是我们说的"洗牙"),才能把它震除干净。并且,之所以写了"定期"两个字,就是因为牙结石会日复一日继续行程,哪怕刚刚洗过牙,牙结石也在以非常缓慢的速度形成。
因此我们一般建议大家 1~2 年洗一次牙,而已经有过牙周炎诊断的病人,可以半年做一次口腔检查,如果医生发现牙结石已经大量沉着了,那就要提前洗牙,并且可能还需要其他牙周基础治疗的操作。
参考文献
[ 1 ] 孟焕新 . 牙周病学(第 5 版). 北京 : 人民卫生出版社 . 2020
[ 2 ] 冯希平 . 口腔预防医学(第 7 版). 北京 : 人民卫生出版社 . 2020
策划制作
作者丨何剑亮 浙江大学医学院附属第二医院 综合牙科 主治医师
审核丨吴斌 首都医科大学附属北京胸科医院口腔科副主任医师 中国整形美容协会牙颌颜面医疗美容分会常务理事
策划丨王梦如
责编丨王梦如
审校丨徐来 张林林
相关推荐
本文封面图片及文内图片来自版权图库
转载使用可能引发版权纠纷
原创图文转载请后台回复"转载"
点亮"推荐"
一起涨知识!
方道配资提示:文章来自网络,不代表本站观点。